Take a look at our gallery and the smiles that we make possible every day at Specialty Smiles. Dr. Mohammed Al Azzawi and Dr. Sarah Al Kukash understand that every person’s needs are different, and we will personalize your care to ensure that you get the treatment that you deserve! Call 281-607-5155 to schedule your orthodontic or pediatric services with our dentists in Pearland and Manvel, Texas.
Invisalign Before & After
A young gentleman was very self-conscious about the gap between his front teeth. His lifestyle didn’t allow him to commit to braces, so he chose Invisalign as an alternative to give him the smile he deserves. His treatment took 12 months.
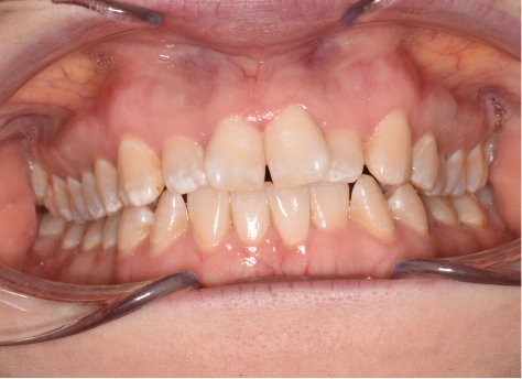
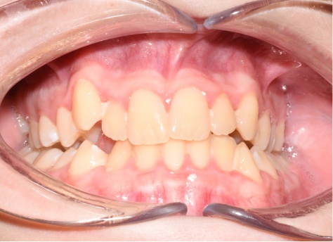
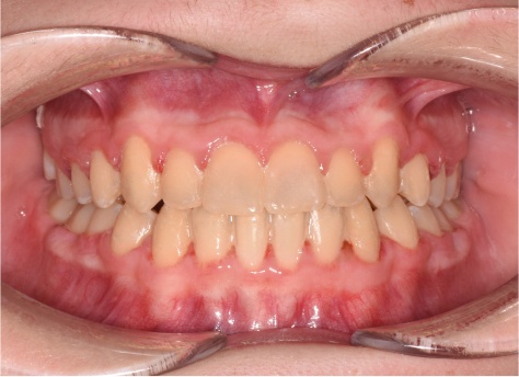
Traditional Braces Before & After
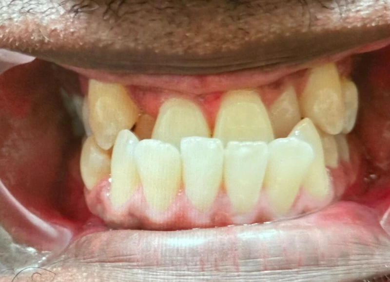
Patient not happy with his severe underbite. He was told it was not fixable without surgery. This is after 24-30 months of orthodontic treatment.
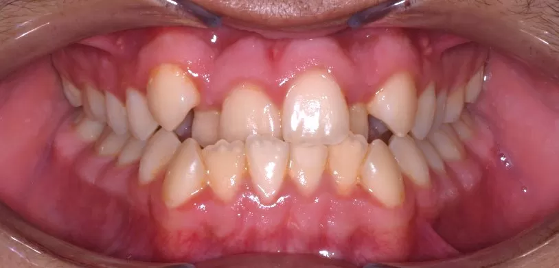
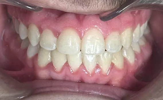
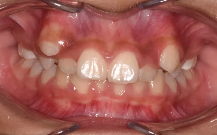
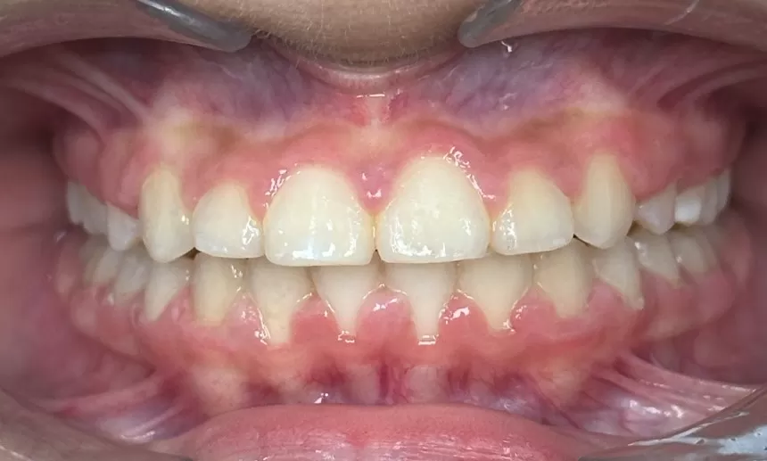
A teenage gentleman lacked confidence in his smile due to severely crowded teeth, making cleaning difficult. In 24 months of orthodontic treatment, we restored his smile with a natural tooth position. Now, he can’t stop smiling!
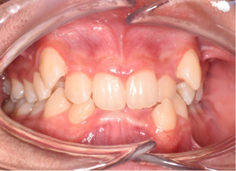
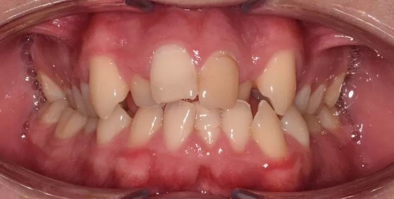
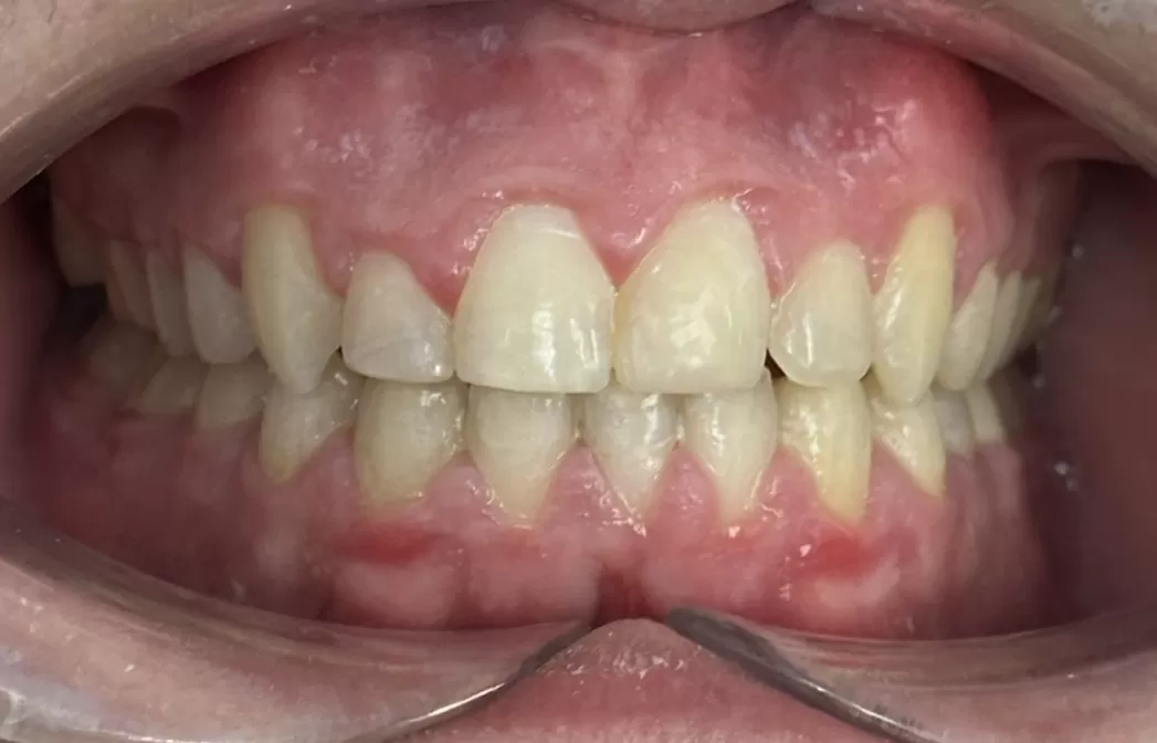
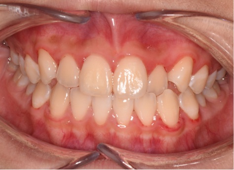
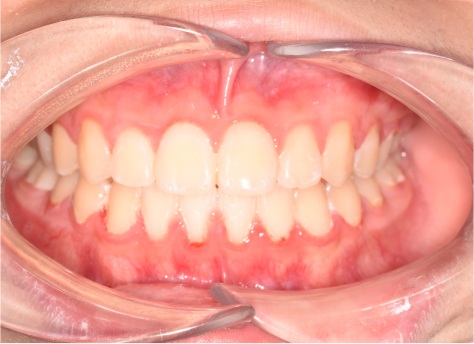
A teenage gentleman was suffering from crowding and a crossbite between his teeth due to underdeveloped upper jaw. During his 20-month orthodontic journey, we restored his teeth alignment and bite.
A young gentleman was about to go to college but not secure about his smile, he was suffering from crowding and a small upper jaw leading to crossbite between his teeth. During his 24-month orthodontic journey, we restored his teeth alignment and bite. Now he is rocking the world with his confidence.
An 11 year old young girl had no space for her canines with severe crowding. in 24 months her beautiful straight smile was restored
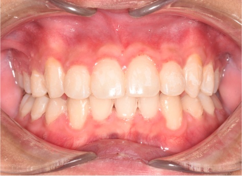
A teenage girl had an upper lateral incisor in a crossbite, which caused her to have a traumatic bite and discomfort. Her tooth position and bite were corrected in 18 months of orthodontic treatment.
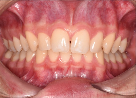
A young, beautiful lady who is very modern and stylish felt insecure about her smile. In 20 months of treatment, we gave her the life-changing smile she deserves, perfectly matching her style.



















